Neurologie
Les affections de la colonne vertébrale entraînent souvent des troubles locomoteurs pouvant aller jusqu'à la paralysie. Un examen d'imagerie poussé (scanner, IRM) et un traitement urgent sont le plus souvent nécessaires.
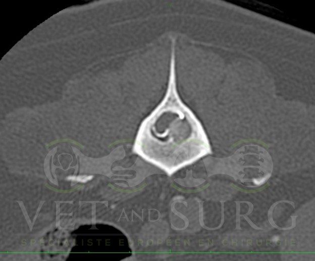
Hernie discale chez un bouledogue de 5 ans
Georges est présenté pour une paralysie des deux membres postérieurs.
Le scanner du rachis révèle une hernie discale en L3-L4 comprimant sévèrement la moelle épinière.
Une hémilaminectomie a été réalisée et le matériel hernié a été retiré pour décomprimer la moelle épinière.
Bibliothèque et Actualités en Neurologie

Quels sont les signes cliniques les plus fréquents dans le cas d'un méningiome? Réponse A: crises épileptiformes chez le chien Réponse B: crises épileptiformes chez le chien et le chat Réponse C: crises épileptiformes chez le chat Réponse D: troubles du comportement che z le chien et le chat La bonne réponse du quizz est la réponse A . Néanmoins, tous ces symptômes sont possibles dans le cas d'un méningiome ! Découvrez en plus sur cette pathologie dans le cas clinique qui suit.





















