Orthopédie
Nous traitons les affections liées à la traumatologie, ainsi que les lésions ligamentaires, musculo-tendineuses et ostéo-articulaires.
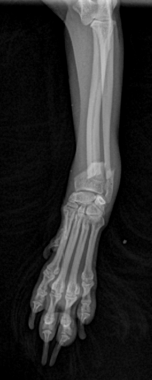
Fracture Salter-Harris sur un chaton Européen de 10 mois
Spike, chaton européen mâle de 10 mois, a été présenté en consultation pour boiterie du membre postérieur droit à la suite d'une chute depuis le 1er étage.
A la radiographie, une fracture de type Salter-harris 1 est diagnostiquée, avec déplacement de l'about discal.
Une réduction de la fracture par pose de 2 broches en croix a été réalisée.



























